USA Health Performs First-In-State Pediatric Hip Implant Procedure

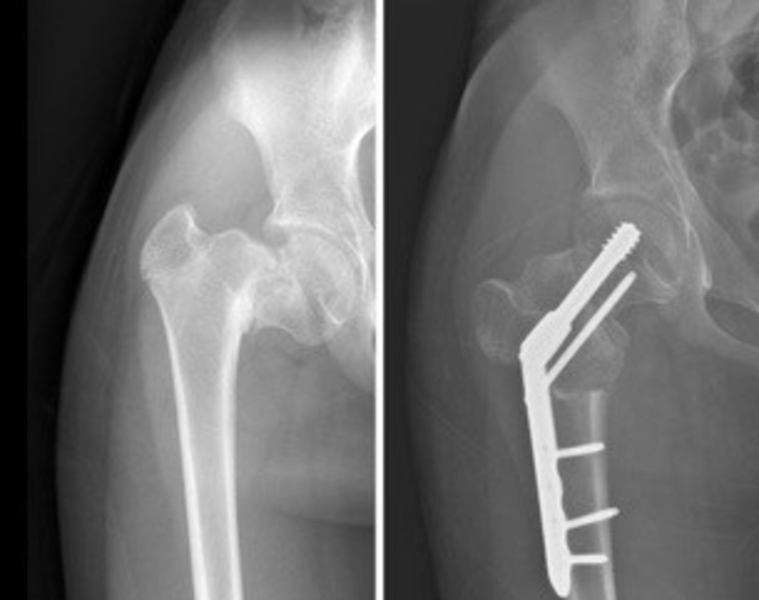
A pediatric orthopaedic surgeon at USA Health is the first provider in Alabama to use a new pediatric hip implant and one of the first in the nation to use the implant to repair a fracture and reposition a bone in the same procedure. In October, Dr. William Cutchen, a pediatric orthopaedic surgeon at USA Health, used the new 3P Pediatric Plating Platform Hip System to repair a rare femoral neck fracture in an adolescent girl’s hip at USA Health Children’s & Women’s Hospital. The patient also had a deformity in the same hip known as coxa vara due to a previous fracture. The implant allowed Cutchen and the operative team to address the fracture and deformity in one setting. Correcting the deformity also reoriented the fracture to be in a better position to heal. The new hip implant includes a beam screw construct and locking proximal femur plates and comes in infant, child and adolescent sizes. The technology improves precision and offers surgeons several ways to stabilize the bone during both injury repair and correction of the bone shape. One of two pediatric orthopaedic surgeons at USA Health, Cutchen sees patients at the Strada Patient Care Center and performs surgery at Children’s & Women’s Hospital, both in Mobile.

Read More

family promise benefit announced

Family Promise Benefit Announced

nest fest coming to orange beach

Nest Fest Coming To Orange Beach

GRANT LET FOR PORT OF CHICKASAW

Grant Let For Port Of Chickasaw

PRCA MOBILE LAUNCHES STUDENT CHAPTER AT USA

PRCA Mobile Launches Student Chapter At USA

ARMBRECHT JACKSON PARTNERS NAMED TO 2026 SOUTHEAST ELITE LIST

Armbrecht Jackson Partners Named To 2026 Southeast Elite List

BALDWIN HEALTH AWARDED A TOP GRADE FOR HOSPITAL SAFETY

Baldwin Health Awarded A Top Grade For Hospital Safety

WARREN AVERETT NAMED TO TOP 50 MOST PRESTIGIOUS LIST

Warren Averett Named To Top 50 Most Prestigious List

bladwin bone & joint spine institute adds fleming

Baldwin Bone & Joint Spine Institute Adds Fleming

WILKINS MILLER’S SHORT PASSES CPA EXAM

Wilkins Miller’s Short Passes CPA Exam

Subscribe to our weekly newsletter

Sign up here for free to get Bay Business News email newsletter every Friday.

By subscribing, you agree to our User Agreement and Privacy Policy & Cookie Statement.

Something went wrong. Please check your entries and try again.

Subscribe to our weekly newsletter

Sign up here for free to get Bay Business News email newsletter every Friday.

Please enter a valid email address.
Something went wrong. Please check your entries and try again.